Conhecendo a Fonoaudiologia, melhorando vidas.

Os mesmos órgãos usados para as funções vitais, como a respiração e digestão, são utilizados quando a criança fala. A fala consiste na produção de sons, através do bloqueio ou interrupção da corrente de ar que vem dos pulmões, ocasionada pelos movimentos da língua, lábios e palato mole. Um comprometimento no funcionamento das estruturas orais pode ser a consequência para as alterações na fala. Quando o recém-nascido tem oportunidade »

Leia Mais

Em se tratando de respiração oral (pela boca), sabe-se que ela pode gerar modificações na posição de repouso da língua e mandíbula, possibilitando comprometimentos na deglutição. Por isso, é importante adequar à respiração e mastigação para que a deglutição normalize-se.

Leia Mais

A mastigação é uma função condicionada, automática e aprendida. Assim como a deglutição, a mastigação faz parte de um processo maior, que é a digestão. Nota-se que a pessoa que mantêm um bom fechamento dos dentes e lábios, pode e deve mastigar dos dois lados (bilateralmente), de maneira simultânea ou alternada: realizando a troca do bolo alimentar, de um lado ao outro da boca ou vindo a mastigar dos 2 lados, ao mesmo tempo. Contudo, »

Leia Mais

A língua possui uma infinidade de movimentos. Ocorre que a mesma é muito versátil, adaptando-se também, às irregularidades da cavidade oral (boca). As pressões de repouso (quando o indivíduo está calado) dos lábios e língua vão interferir sobre os dentes e ossos, por isso, a necessidade de uma avaliação especializada, como parte do exame clínico. Quando há alteração óssea, as alterações labiais são comuns. Os lábios têm dificuldade »

Leia Mais

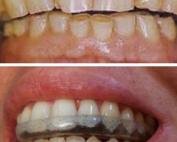
  “O bruxismo, hábito de apertar e ranger os dentes é comum em cerca de 15% das pessoas. Esses pacientes podem sofrer fortes dores de cabeça, desgaste dos dentes e distúrbios da articulação têmporo-mandibular (ATM). As causas deste problema podem ser a tensão emocional e o fechamento inadequado da boca.” Estes sintomas são comuns durante o sono. Ranger os dentes à noite e apertá-los durante o dia, formam um problema progressivo »

Leia Mais